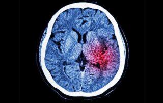
Low Potassium Levels Combined with High Sodium Levels Increase Stroke Risk
A clinical study led by Jorge Polónia showed that besides sodium (found in high amounts in sault), the intake of potassium also influences the onset of a stroke and other cardiovascular problems. However, unlike sodium intake, which should be low, the levels of potassium must be high, explains the doctor and researcher of CINTESIS. The research team aimed at evaluating [...]
Cristina Granja: “Research Helps Us Treat Our Patients Better”
Cristina Granja is the Principal Investigator of CriticalMed. She is a medical doctor specialized in Anaesthesia and Intensive Medicine. Besides also having competence in Emergency Medicine, she is the head of a hospital service, a professor and a mother. She has reached the top of her career, but she still is very critical –especially with herself – protective of her [...]
CINTESIS Study Seeks to Understand Fertility Concerns of Young Women Diagnosed with Cancer
A group of researchers from CINTESIS – Center for Health Technology and Services Research and the University of Aveiro (UA) is looking for young women who have beaten cancer or are fighting it to answer an online survey (in Portuguese only). The objective is to assess their reproductive concerns and other psychological and social aspects, and to develop programmes for psychological [...]
CINTESIS Study on Health Effect of Moderate Beer Consumption Seeks Volunteers
A group of researchers from CINTESIS – Center for Health Technology and Services Research and the NOVA Medical School of the Nova University of Lisbon will start a research project aiming to evaluate the effect of beer consumption on the intestinal microbiota (gut flora), and on the metabolic and lipid profile; and to understand the role of alcohol in such [...]
OBSERVADOR // Teenagers at 24? What CINTESIS Researcher Sara Monteiro Has to Say
Can teenage years go up to 24? Sara Monteiro, a researcher at CINTESIS and a professor at the University of Aveiro, argues, in declarations to the Observador, that "social markers that typically delimit the entrance in adulthood do not currently exist." The Psychologist suggests sociodemographic variability as a factor capable of delaying growth. Read the full story here (in Portuguese).
PORTO CANAL // Relatives of Elderly People with Acute Confusional State Suffer from Severe Psychological Distress
A CINTESIS study, led by Sónia Martins under the coordination of Lia Fernandes, concluded that 67% of the relatives of elderly people who presented acute confusional state suffer from severe psychological distress. In this context, the Porto Canal visited the Intermediate Care Unit of the Emergency Service of the Hospital Center of São João, partner in this [...]





